2025. 4. 7. 08:28ㆍ카테고리 없음
📌 치주병의 원인
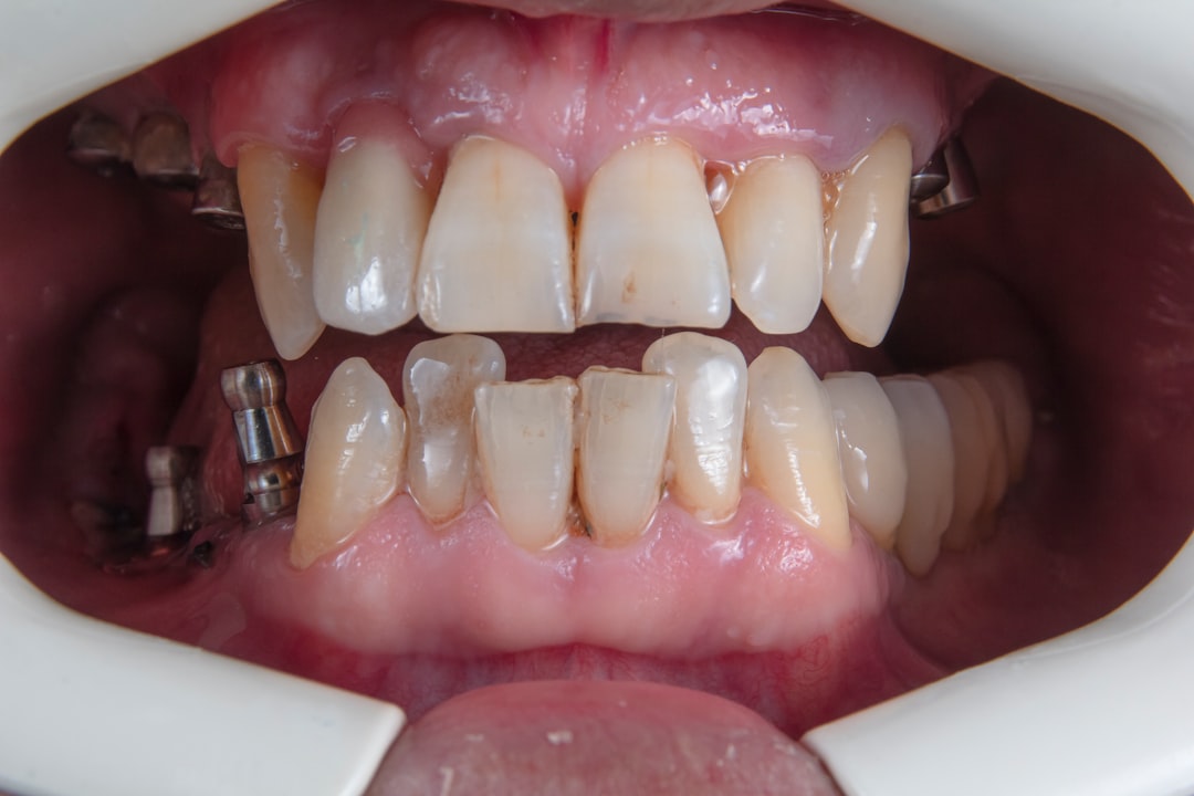
치주병, 즉 잇몸병은 우리 몸에서 흔히 발생할 수 있는 질병 중 하나입니다. 치주병 원인 및 예방 방법은 우리가 잇몸 건강을 유지하기 위해 반드시 알아야 할 부분입니다. 첫 번째로, 가장 흔한 원인은 잇몸에 쌓이는 플라그와 치석입니다. 플라그는 세균으로 이루어진 점액질이며, 방치할 경우 염증을 일으켜 치주병으로 발전할 수 있습니다. 이런 상황은 먹고 남은 음식물 찌꺼기가 제대로 씻겨 나가지 않을 때 자주 발생합니다.
또한, 흡연은 치주병 원인 중 하나로 꼽힙니다. 흡연자는 비흡연자에 비해 치주 질환에 걸릴 확률이 2배 이상 높습니다. 담배 속의 독소가 잇몸에 염증을 야기하고 혈관 수축을 초래하여 혈류 공급을 방해하기 때문입니다. 그러므로, 건강한 잇몸을 원하신다면 흡연을 자제하는 것이 필수적입니다.
세 번째 원인은 유전적 요인입니다. 가족 중에 치주병 환자가 많다면, 본인 역시 위험군에 속할 가능성이 큽니다. 이는 특정 유전자가 염증 반응을 증가시킬 수 있기 때문입니다. 이를 통해 치주병 원인 및 예방 방법을 이해할 수 있습니다.
그리고 스트레스도 간과해서는 안 될 요소입니다. 스트레스는 면역력을 저하시켜 감염 가능성을 높이고, 잇몸 질환에 걸리기 쉽게 만듭니다. 그러니 여러분의 일상 속 스트레스 관리가 잇몸 건강에도 영향을 미친다는 점을 명심하세요!



💡 치주병 예방 방법
치주병 예방을 위해서는 첫째, 올바른 구강 위생 관리를 실천해야 합니다. 하루 두 번 이상 칫솔질을 하고, 치실이나 치간 칫솔을 사용하여 잇몸 틈새에 남아 있는 플라그를 효과적으로 제거하세요. 이때 칫솔은 부드러운 것으로 선택하는 것이 좋습니다.
둘째로, 정기적인 치과 방문은 필수입니다. 치과에서는 전문적인 스케일링과 진단을 통해 문제를 조기에 발견하고 치료할 수 있습니다. 최소한 6개월에 한 번은 예약해서 진료를 받는 것이 좋습니다. 이렇게 하면 치주병 예방과 동시에 건강한 치아를 유지할 수 있습니다.
셋째, 균형 잡힌 식사를 통해 면역력을 강화하세요. 비타민 C가 풍부한 과일과 채소는 잇몸 건강에 큰 도움이 됩니다. 예를 들어, 오렌지, 키위, 파프리카 등이 있습니다. 이는 체내 염증을 줄이고 잇몸을 건강하게 만들어 줍니다.
마지막으로, 스트레스를 해소하는 취미 활동을 가져보세요. 요가, 독서, 산책 등은 심리적으로 큰 도움이 되어 줍니다. 이를 통해 스트레스를 줄이고 건강한 잇몸을 유지하는 데 기여할 수 있습니다.
🔑 스마트한 팁으로 치아 건강 지키기
치아 건강을 지키기 위해서는 치주병 원인 및 예방 방법을 체계적으로 이해하고 실천하는 것이 중요합니다. 첫 번째, 규칙적인 생활과 수면 패턴을 유지하여 면역력을 높이세요. 면역력이 높아지면 자연스럽게 치주병의 위험이 줄어듭니다.
두 번째, 가글을 활용해 보세요. 가글은 플라그 제거에 도움을 줄 수 있으며, 구취 문제를 해결해 줍니다. 그러나, 이 역시 보조적인 수단이므로 기본적인 구강 위생이 선행되어야 함을 잊지 마세요!
셋째, 자신의 치아와 잇몸 건강을 체크하는 데에 도움을 줄 수 있는 앱을 활용해보는 것도 좋습니다. 치주병 원인 및 예방 방법을 정리한 앱을 통해 자신만의 체크리스트를 만들고, 주기적으로 확인해 보세요.
넷째, 친구들이나 가족들과 함께 잇몸 건강 챌린지를 해보세요. 서로에게 격려하며 건강한 습관을 유지할 수 있는 좋은 방법입니다. "너 오늘 칫솔질 했어?" 같은 질문이 자연스럽게 오가는 자리가 생기면 더할 나위 없죠!
📊 치주병 예방을 위한 데이터
| 예방 방법 | 효과 |
|---|---|
| 정기적인 치과 방문 | 조기 발견 및 치료 |
| 올바른 구강 위생 | 플라그 제거 및 잇몸 건강 유지 |
| 균형 잡힌 식사 | 면역력 강화 |
| 스트레스 관리 | 면역력 유지 및 감염 방지 |
이런 글도 읽어보세요
택시 야간할증 시간 및 요금 확인하기, 최신 기준과 절약 팁
택시 야간할증 시간 및 요금 확인하기란?택시를 이용할 때마다 요금이 어떻게 책정되는지에 대해 많은 사람들이 고민하게 됩니다. 특히 야간에 택시를 이용할 경우, 통상적인 요금과는 다른 '야
guide.showinfo.shop
근로계약서 퇴사 후 알아야 할 권리와 의무 체크리스트
📌 근로계약서 퇴사 시 기본 권리 이해하기근로계약서 퇴사 후, 여러 가지 권리와 의무를 잘 이해하는 것이 중요합니다. 퇴사하는 순간부터 여러분은 더 이상 회사의 직원이 아니게 되지만, 특
guide.showinfo.shop
토스뱅크 환전 수수료, 무료? 진실은?
📌 서론: 환전의 재미와 어려움여행을 떠나기 전, 가장 신경 쓰이는 것 중 하나는 바로 환전입니다. 해외로 여행을 가면 다른 나라의 통화를 사용해야 하니, 은행이나 환전소에서 환전을 하는
guide.showinfo.shop
자주 묻는 질문 (FAQ)
Q1: 치주병은 어떻게 예방할 수 있나요?
A1: 올바른 구강 위생 관리, 정기적인 치과 방문, 균형 잡힌 식사, 스트레스 관리가 주요 예방 방법입니다.
Q2: 치주병의 증상은 무엇인가요?
A2: 잇몸의 붉어짐, 부기, 출혈, 구취 등이 치주병의 대표적인 증상입니다.
Q3: 잇몸 건강을 위해 어떤 음식을 먹어야 하나요?
A3: 비타민 C가 풍부한 과일과 채소(예: 오렌지, 딸기, 파프리카)가 잇몸 건강에 좋습니다.


